
- 3
- 1
- 6
To Quiz Yourself: Select OFF by clicking the button to hide the diagnosis & additional resources under the case.
Quick Browser: Select ON by clicking the button to hide the additional resources for faster case review.
CASE NUMBER
112
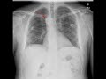
Diagnosis
Right Aortic Arch
Note
This is a patient who presented to the emergency department with a cough. A frontal radiograph of the chest was obtained. When evaluating the contours of the mediastinum, this patients aortic arch is on the right. There is no evidence of a typically identified mediastinal mogul in the expected location of an anatomic left-sided aortic arch. This patient has a variant right-sided aortic arch without additional anomalies. Right sided aortic arches can be seen without or without mirror branching of the great vessels. When patients do not have mirror branching, there a typically no associated cardiac defects. Mirror branching with a right-sided arch is associated with a high incidence of additional cardiac anomalies.
THIS IS CASE
112
OF
129
