
- 3
- 1
- 6
To Quiz Yourself: Select OFF by clicking the button to hide the diagnosis & additional resources under the case.
Quick Browser: Select ON by clicking the button to hide the additional resources for faster case review.
CASE NUMBER
89
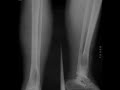
Diagnosis
Nonossifying Fibroma
Note
This is a 16 year old male who presented to the emergency room after twisting his ankle. Radiographs of the ankle were obtained and demonstrate a well-circumscribed lucent lesion eccentrically located within the distal metaphysis of the tibia. The lesion has a sclerotic margin with a narrow zone of transition and no internal matrix. There is no periosteal reaction, cortical destruction, or a soft tissue component. The lytic appearance, eccentric metaphyseal location, absence of internal matrix, and sclerotic margin in a patient of this age is diagnostic of a nonossifying fibroma. These are completely benign lesions without risk of malignant transformation. When the lesions meet the above described criteria, no biopsy is recommended. Over time, these lesions spontaneously heal and become sclerotic.
THIS IS CASE
89
OF
129
