
- 1
- 1
- ,
- 6
- 7
- 5
To Quiz Yourself: Select OFF by clicking the button to hide the diagnosis & additional resources under the case.
Quick Browser: Select ON by clicking the button to hide the additional resources for faster case review.
CASE NUMBER
2,030
Diagnosis
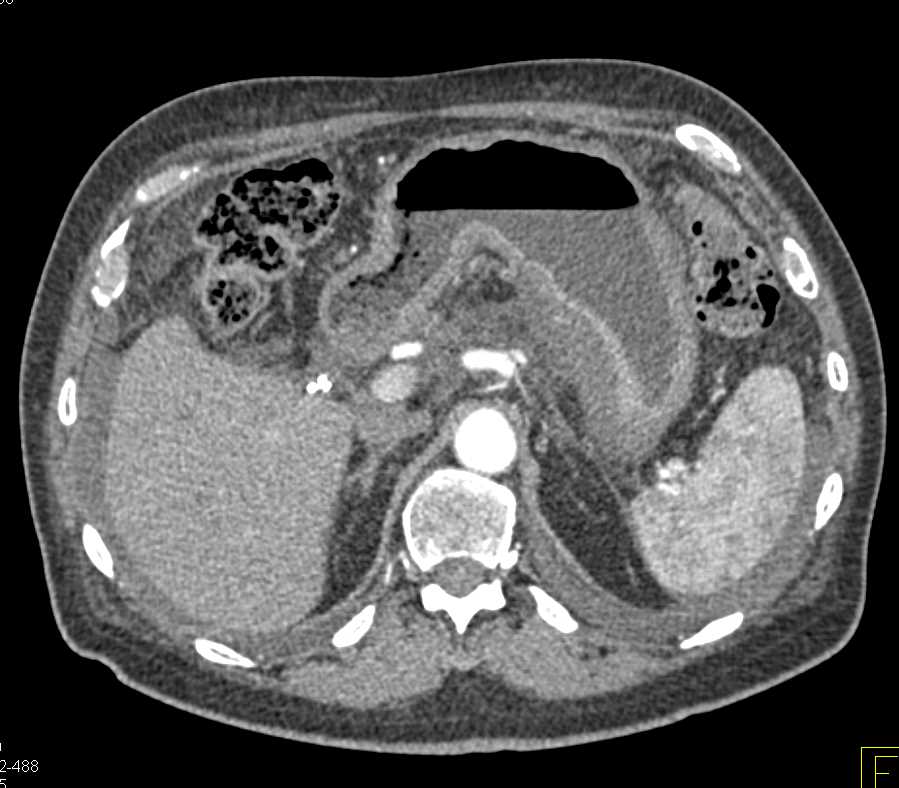
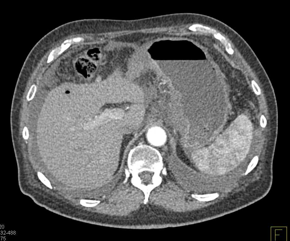
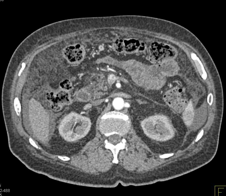
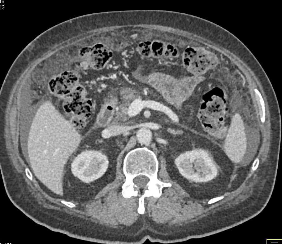
Gastric Cancer with Carcinomatosis
THIS IS CASE
2,030
OF
2,031
