
- 1
- 9
- ,
- 1
- 4
- 3
To Quiz Yourself: Select OFF by clicking the button to hide the diagnosis & additional resources under the case.
Quick Browser: Select ON by clicking the button to hide the additional resources for faster case review.
CASE NUMBER
2,202
Diagnosis
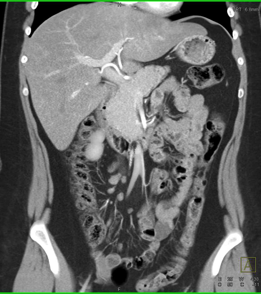
Vasculitis with Mesenteric Vascular Involvement
THIS IS CASE
2,202
OF
2,249
