
- 4
- 6
- ,
- 8
- 6
- 7
To Quiz Yourself: Select OFF by clicking the button to hide the diagnosis & additional resources under the case.
Quick Browser: Select ON by clicking the button to hide the additional resources for faster case review.
CASE NUMBER
6,182
Diagnosis
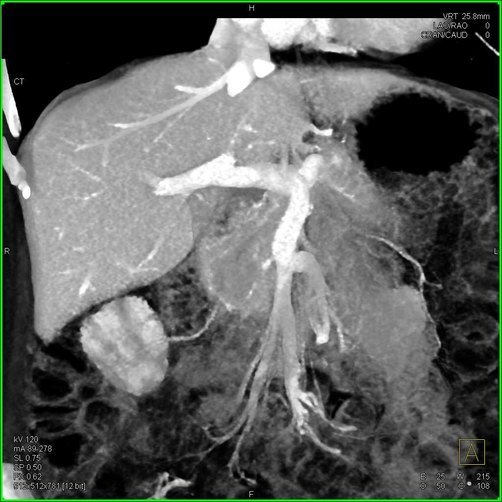
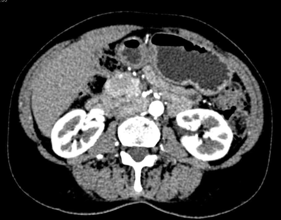
Intraductal Papillary Mucinous Neoplasm (IPMN) with High Grade Dysplasia
THIS IS CASE
6,182
OF
6,287
