
- 2
- ,
- 3
- 8
- 1
To Quiz Yourself: Select OFF by clicking the button to hide the diagnosis & additional resources under the case.
Quick Browser: Select ON by clicking the button to hide the additional resources for faster case review.
CASE NUMBER
377
Diagnosis
Ependymoma
Note
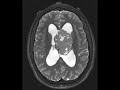
These images demonstrate a heterogeneous mixed solid and cystic T1/T2 isointense lobulated lesion in the body of the left lateral ventricle extending through the foramen of Monro into the third ventricle in an adolescent patient. There are few areas of intralesional hemorrhage with blood-fluid levels best seen on the Sagittal T1 sequence. The mass is hypercellular as evidenced by restricted diffusion. Contrast was not administered on this study, but residual tumor on subsequent studies showed avid enhancement of the non-cystic portions. The differential diagnosis includes ependymoma, choroid plexus papilloma and carcinoma, central neurocytoma ,and subependymoma. On pathology, this lesion turned out to be an ependymoma. Approximately ⅓ of ependymomas are supratentorial and of these, less than half are intraventricular.
THIS IS CASE
377
OF
396
