
- 3
- 3
- ,
- 2
- 3
- 9
To Quiz Yourself: Select OFF by clicking the button to hide the diagnosis & additional resources under the case.
Quick Browser: Select ON by clicking the button to hide the additional resources for faster case review.
CASE NUMBER
6,048
Diagnosis
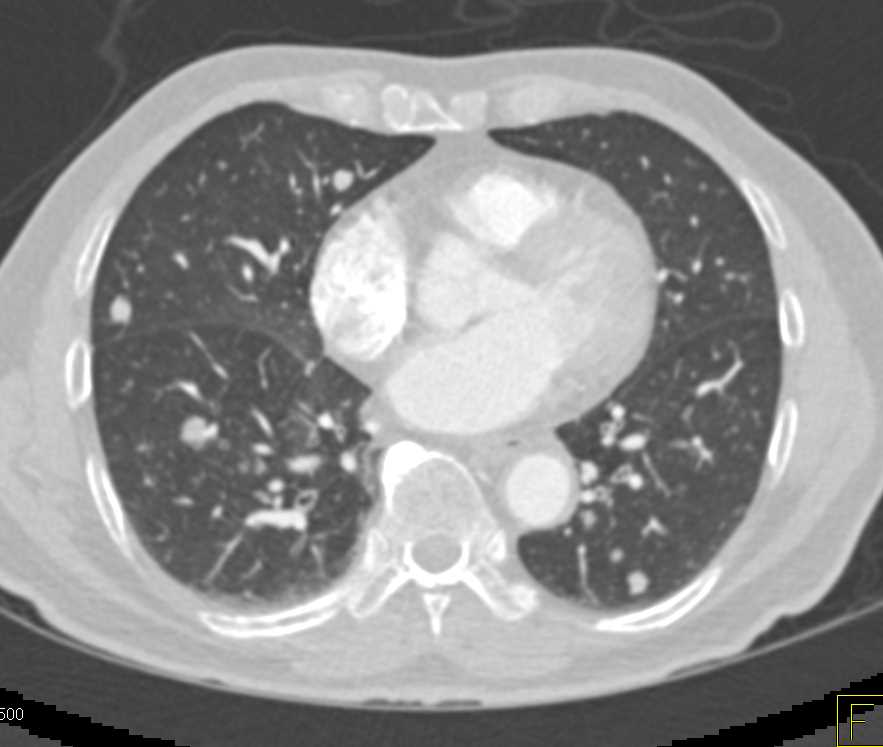
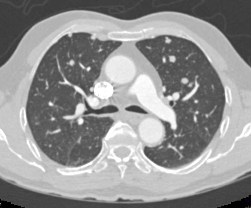
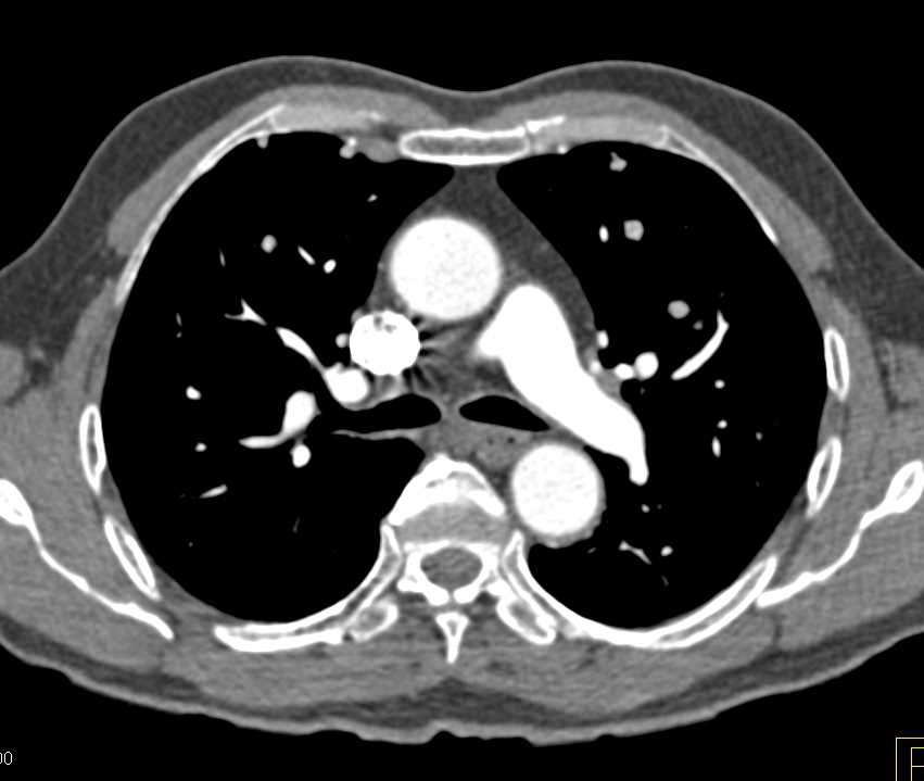
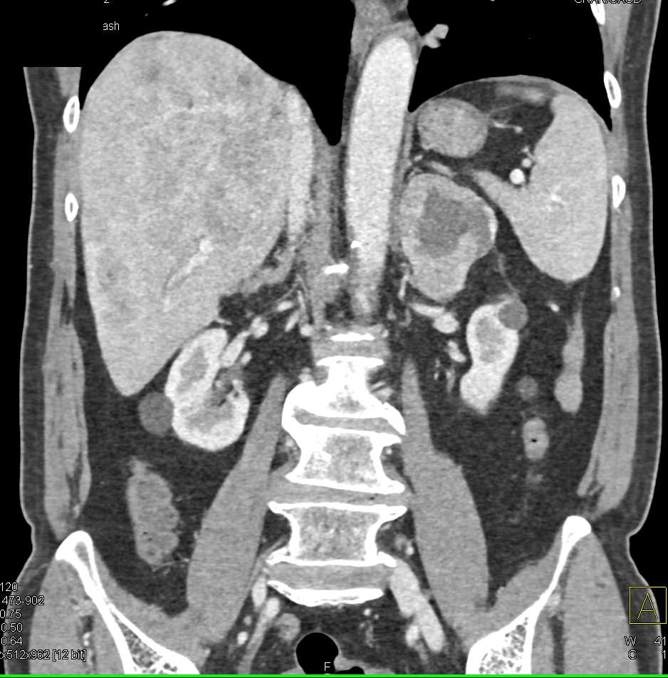
Lymphoma with Adrenal and Liver and Lung Involvement
THIS IS CASE
6,048
OF
6,080
