
- 5
 - 2
 - ,
 - 3
 - 1
 - 4
 
To Quiz Yourself: Select OFF by clicking the button to hide the diagnosis & additional resources under the case.
Quick Browser: Select ON by clicking the button to hide the additional resources for faster case review.
CASE NUMBER
  8,284
  
  
	
    Diagnosis
  
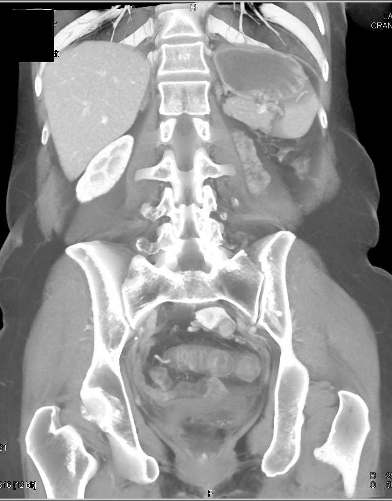
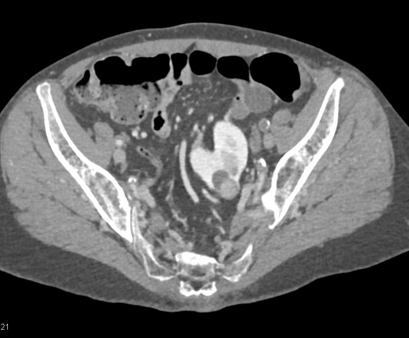
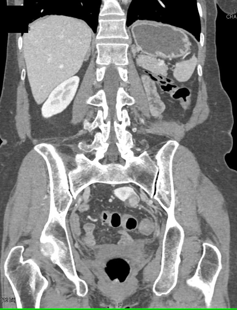
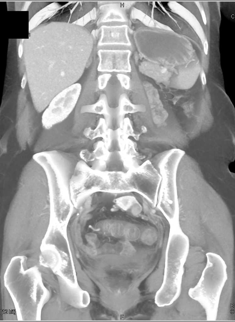
Renal Cell Carcinoma is a Solid Mass
	 THIS IS CASE
     8,284
       
	    OF
		8,290
   
       
     
   