
- 1
- 3
- ,
- 3
- 5
- 0
To Quiz Yourself: Select OFF by clicking the button to hide the diagnosis & additional resources under the case.
Quick Browser: Select ON by clicking the button to hide the additional resources for faster case review.
CASE NUMBER
1,652
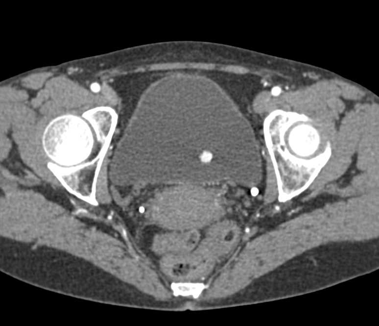
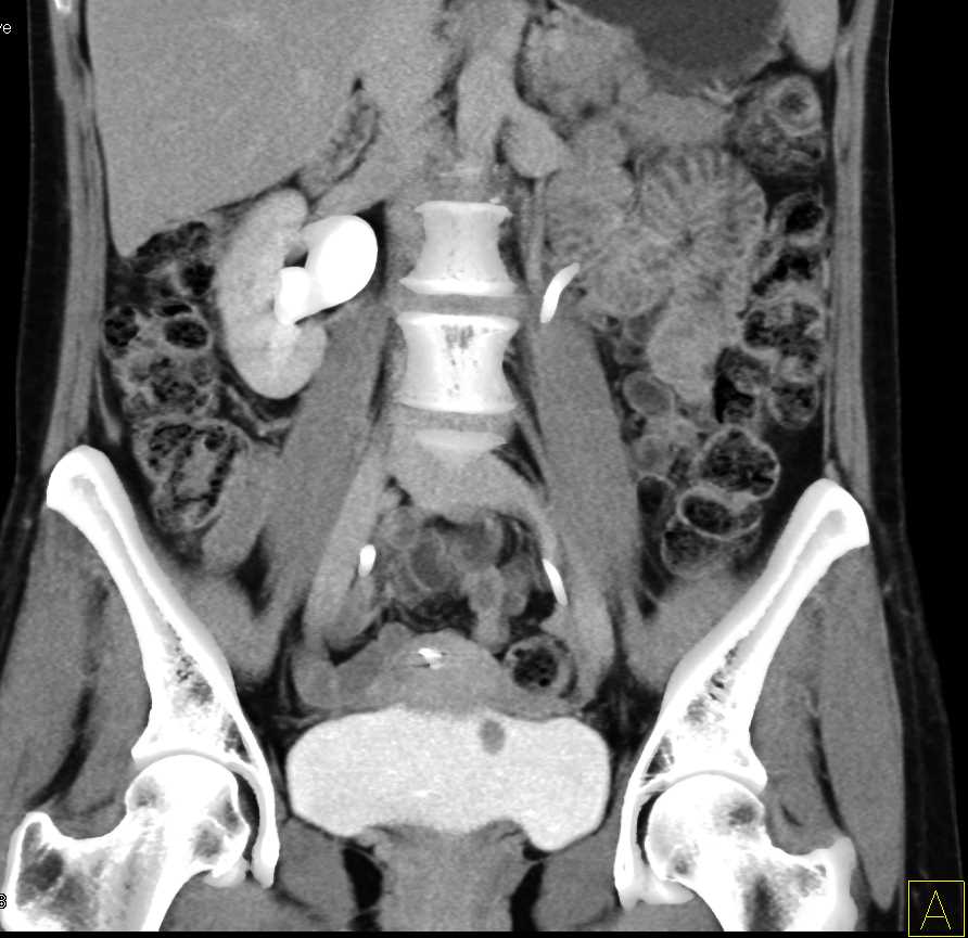
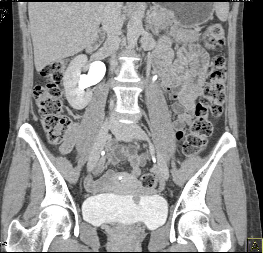
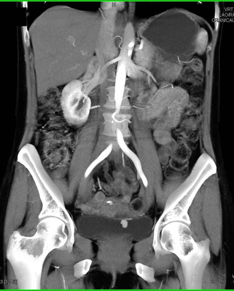
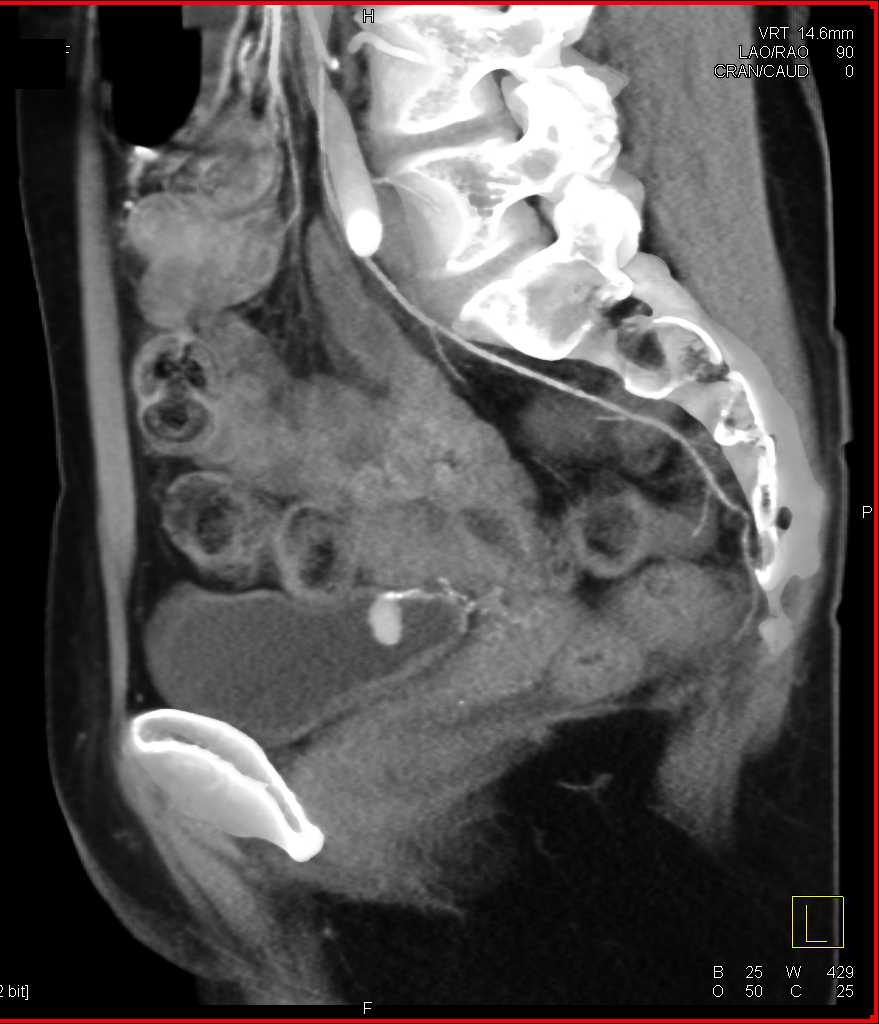
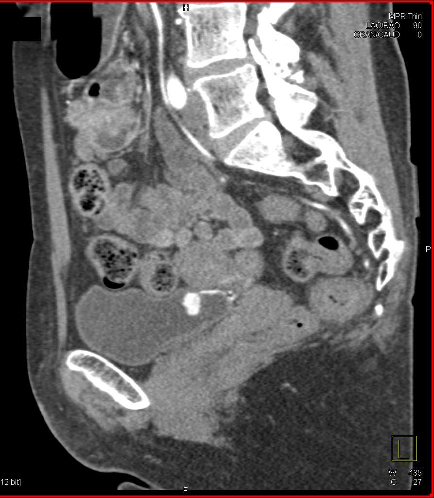
Diagnosis
Bladder Cancer with Active Bleed
THIS IS CASE
1,652
OF
1,657
