
- 1
- 3
- ,
- 3
- 5
- 0
To Quiz Yourself: Select OFF by clicking the button to hide the diagnosis & additional resources under the case.
Quick Browser: Select ON by clicking the button to hide the additional resources for faster case review.
CASE NUMBER
1,635
Diagnosis
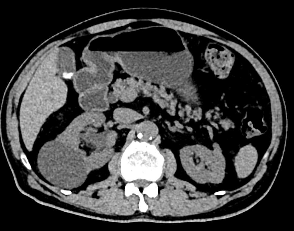
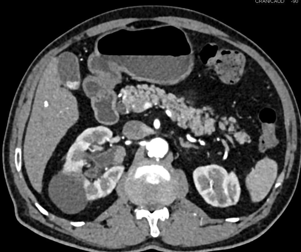
Transitional Cell Carcinoma Right Kidney and Bladder
THIS IS CASE
1,635
OF
1,657
