
- 3
- 0
- ,
- 1
- 9
- 1
To Quiz Yourself: Select OFF by clicking the button to hide the diagnosis & additional resources under the case.
Quick Browser: Select ON by clicking the button to hide the additional resources for faster case review.
CASE NUMBER
5,001
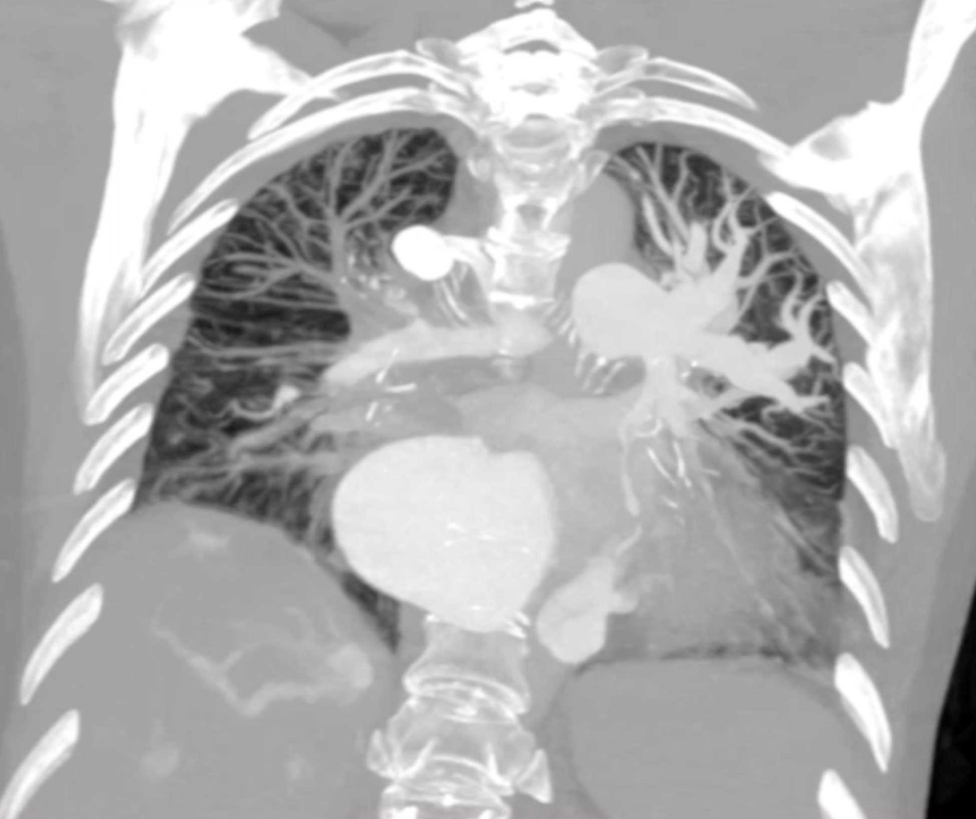
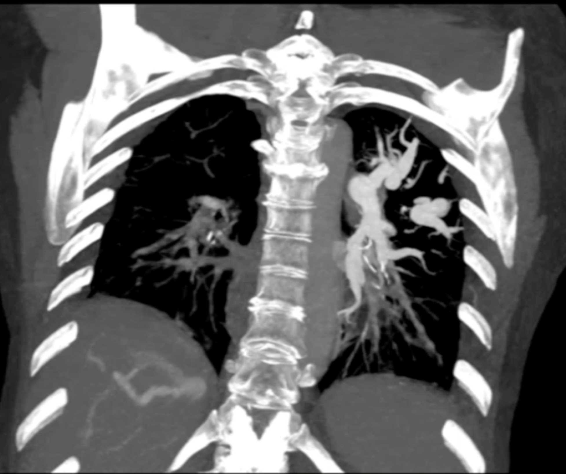
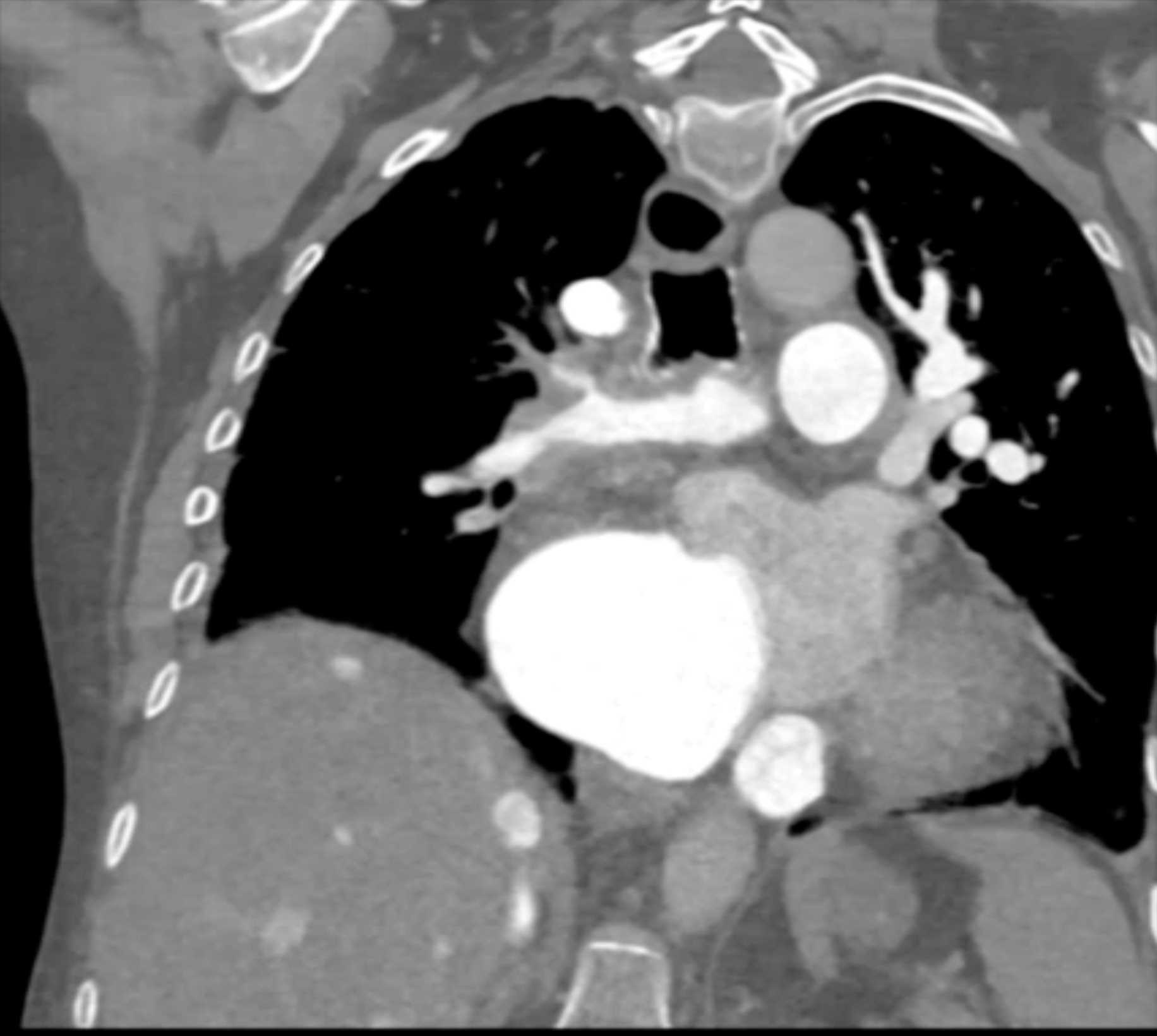
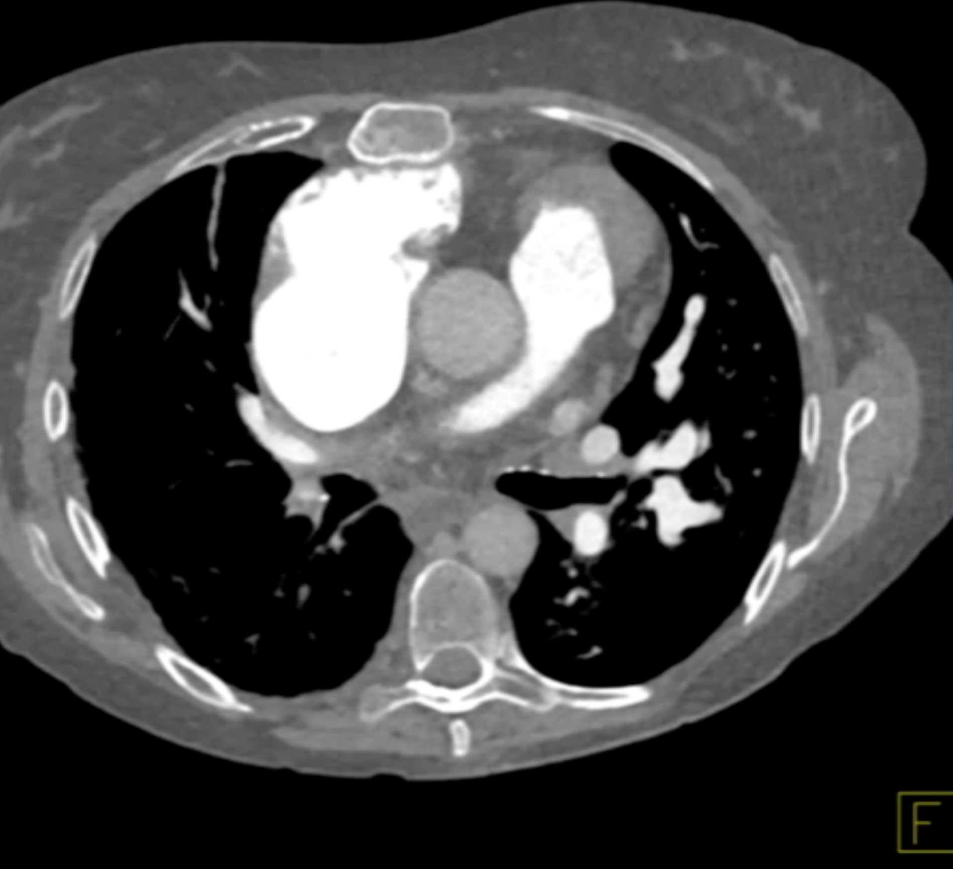
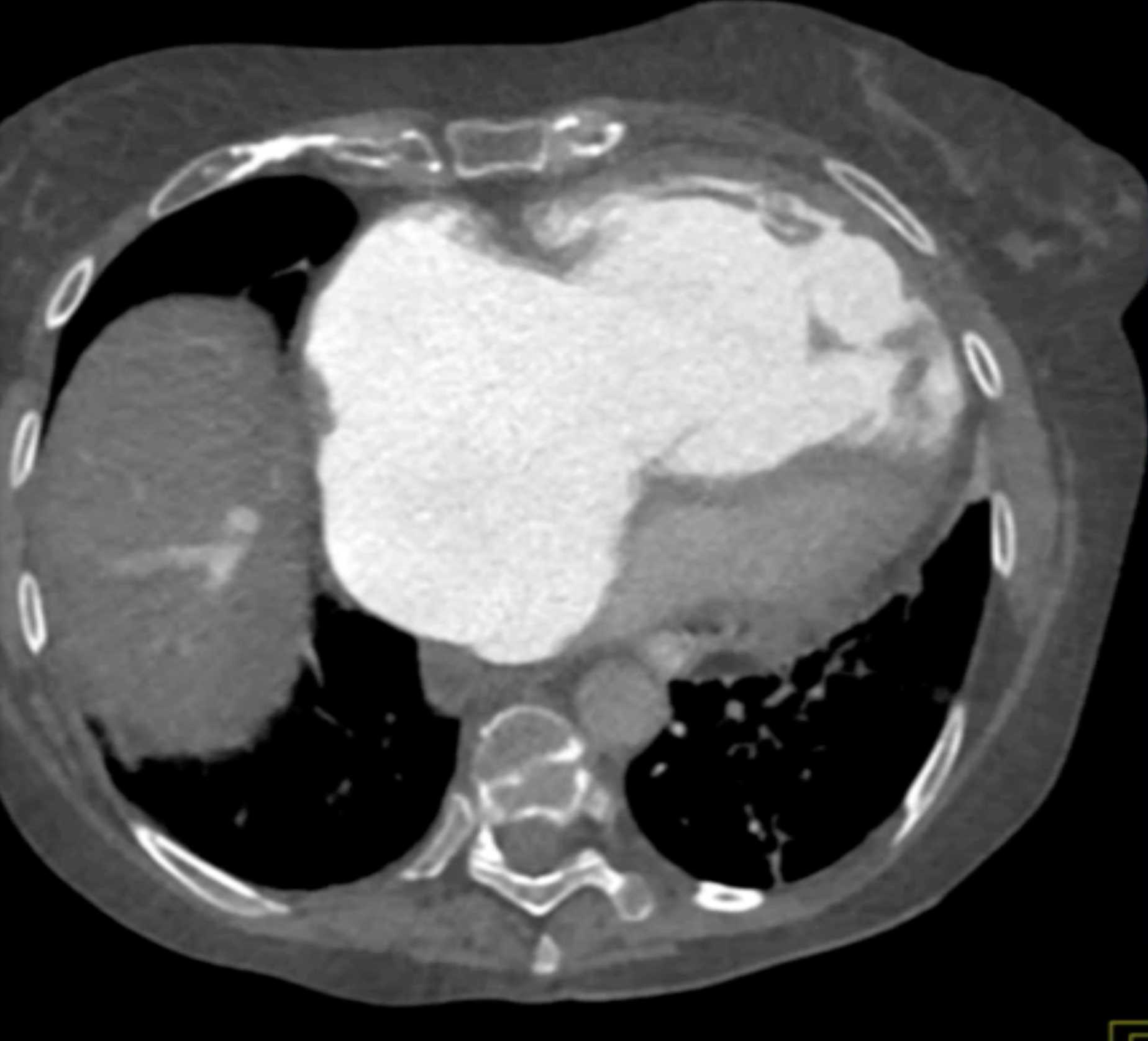
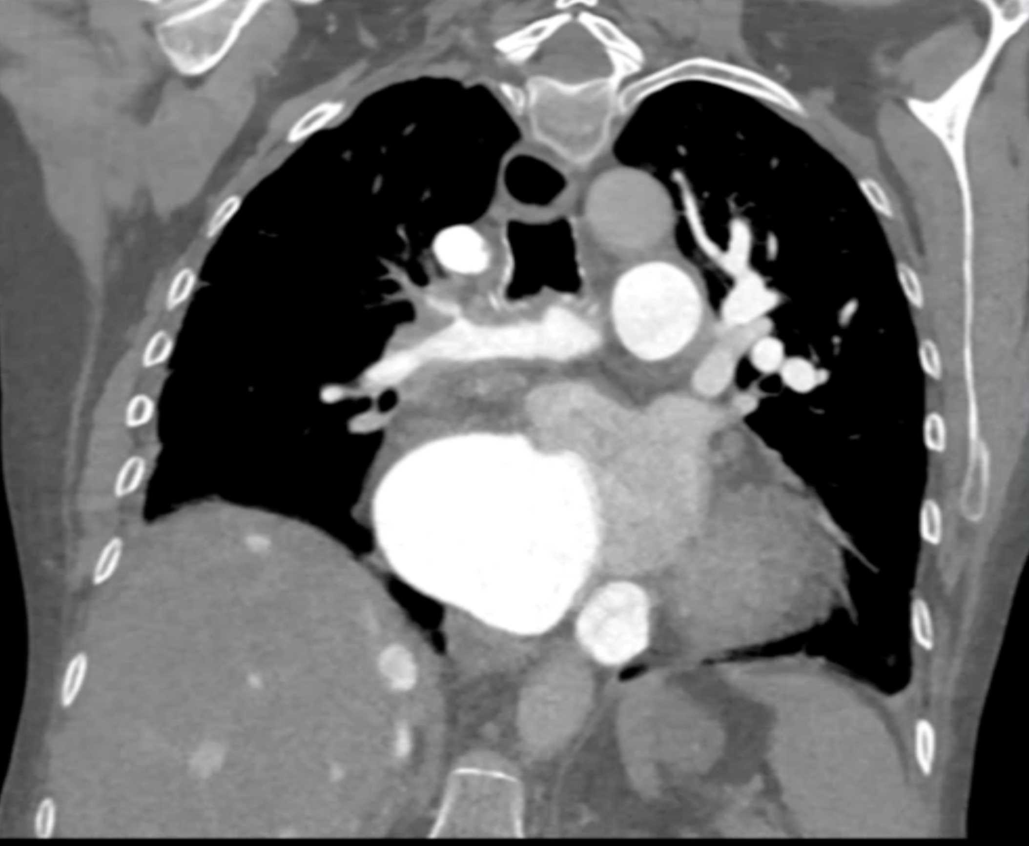
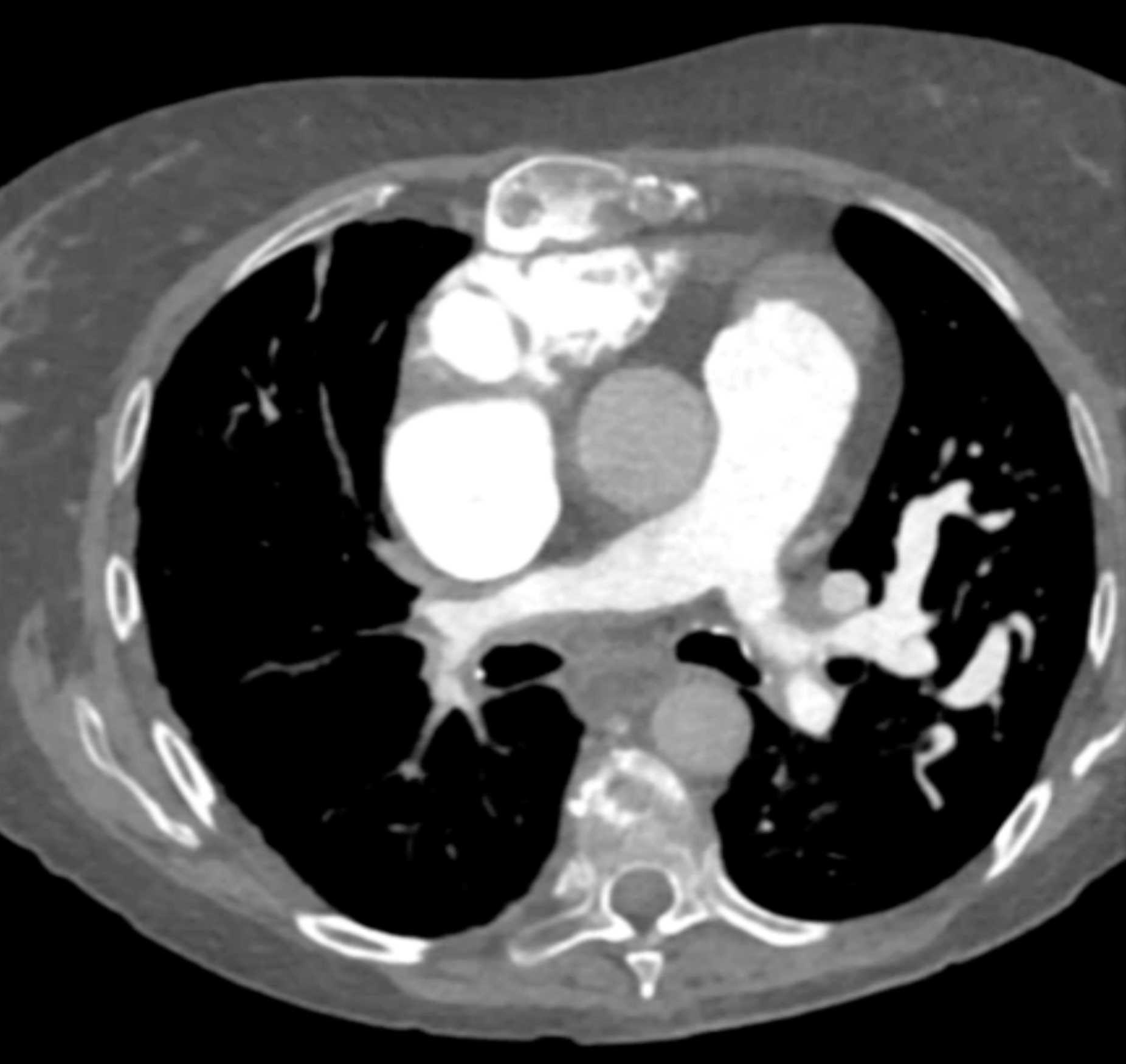
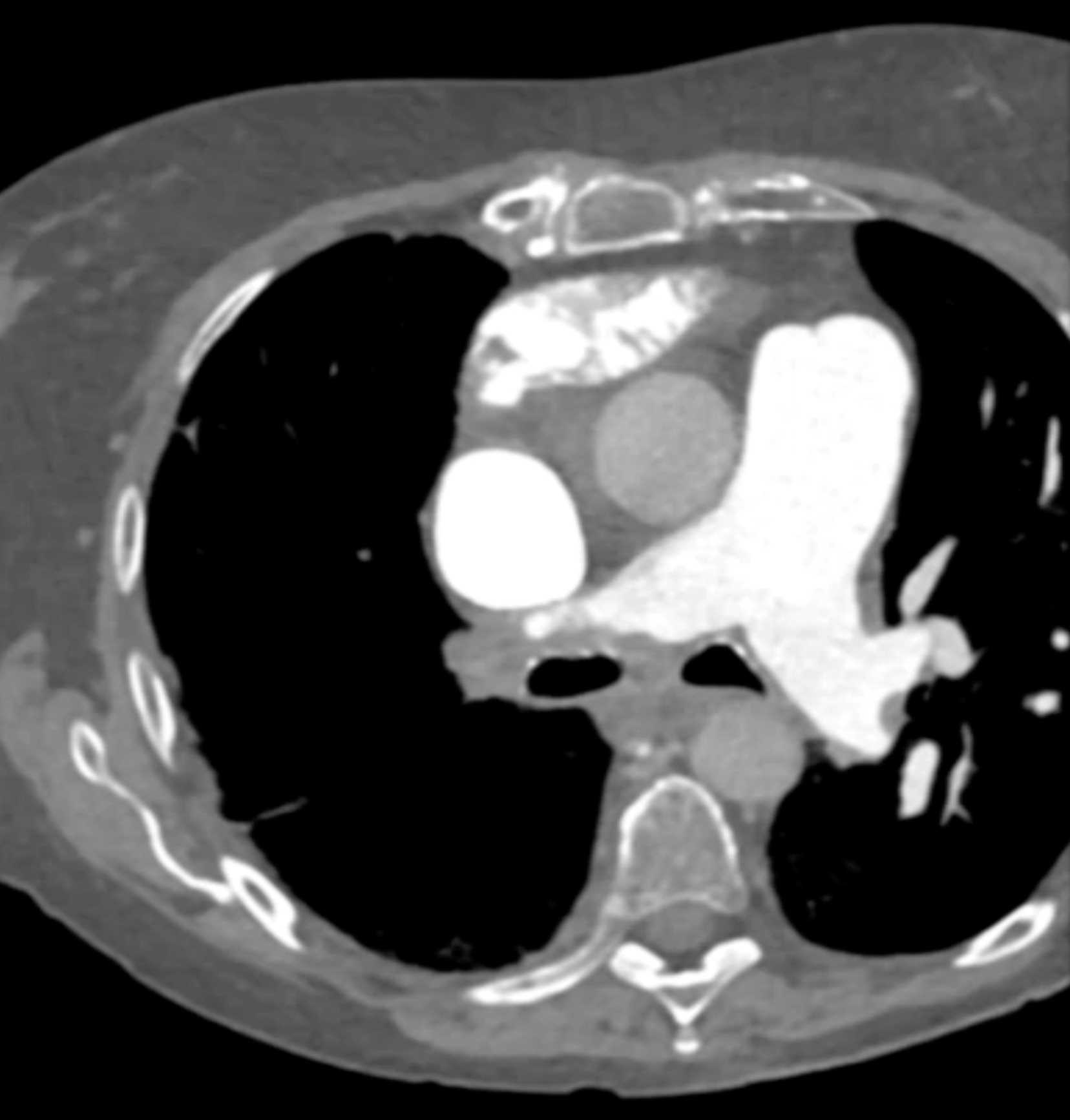
Diagnosis
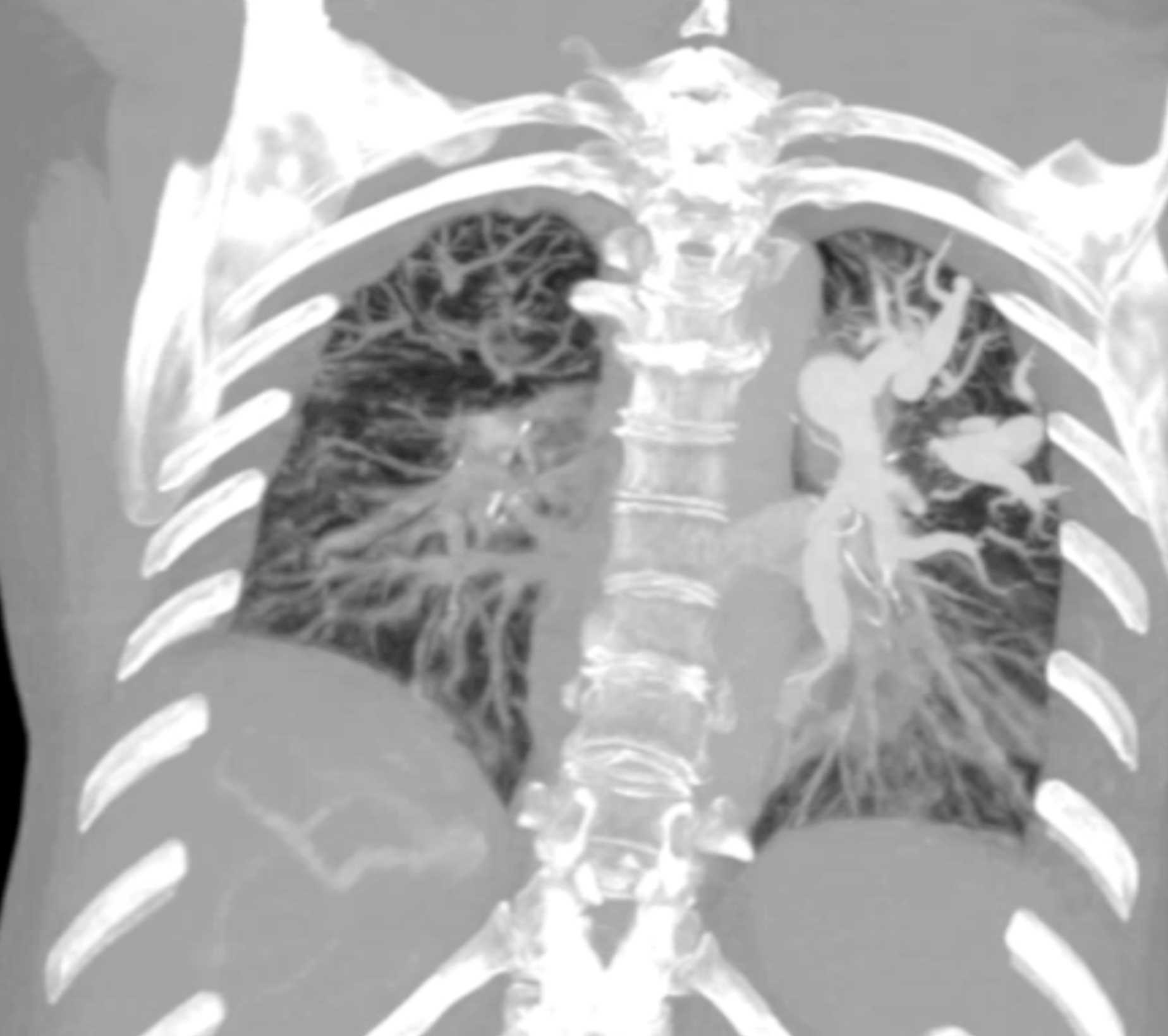
Fibrosing Mediastinitis involves the Pulmonary Artery and Vein
THIS IS CASE
5,001
OF
5,009
