
- 2
- 4
- ,
- 4
- 4
- 1
To Quiz Yourself: Select OFF by clicking the button to hide the diagnosis & additional resources under the case.
Quick Browser: Select ON by clicking the button to hide the additional resources for faster case review.
CASE NUMBER
273
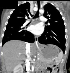
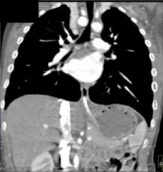
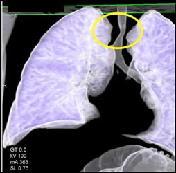
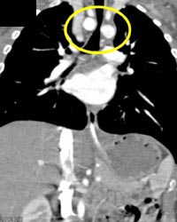
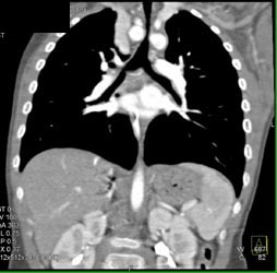
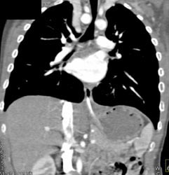
Diagnosis
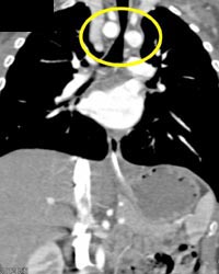
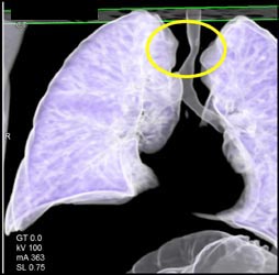
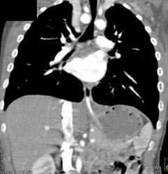
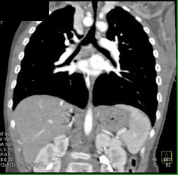
Airway Narrowing Due to Double Arch
THIS IS CASE
273
OF
4,102
