
- 2
- 4
- ,
- 4
- 4
- 1
To Quiz Yourself: Select OFF by clicking the button to hide the diagnosis & additional resources under the case.
Quick Browser: Select ON by clicking the button to hide the additional resources for faster case review.
CASE NUMBER
214
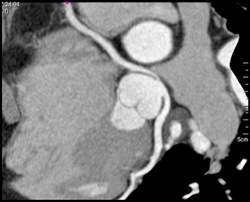
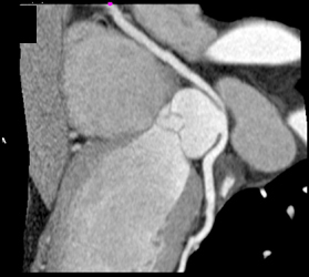
Diagnosis
Anomalous RCA Off Lca
THIS IS CASE
214
OF
4,102
