
- 2
- ,
- 3
- 0
- 9
To Quiz Yourself: Select OFF by clicking the button to hide the diagnosis & additional resources under the case.
Quick Browser: Select ON by clicking the button to hide the additional resources for faster case review.
CASE NUMBER
277
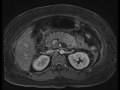
Diagnosis
Acute Pancreatitis
Note
Multiple MR images demonstrate a diffusely enlarged, edematous pancreas with surrounding fluid and fat stranding, particularly evident on the fat-suppressed images, compatible with acute pancreatitis
THIS IS CASE
277
OF
367
