
- 2
- ,
- 3
- 0
- 9
To Quiz Yourself: Select OFF by clicking the button to hide the diagnosis & additional resources under the case.
Quick Browser: Select ON by clicking the button to hide the additional resources for faster case review.
CASE NUMBER
266
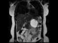
Diagnosis
Mucinous cystic neoplasm (MCN)
Note
MR images demonstrate a large T2 hyperintense cyst arising from the pancreatic tail. There is subtle internal mural nodularity which demonstrates no appreciable enhancement. These findings reflect a large mucinous cystic neoplasm, likely with internal old blood products
THIS IS CASE
266
OF
367
