
- 2
- ,
- 3
- 0
- 9
To Quiz Yourself: Select OFF by clicking the button to hide the diagnosis & additional resources under the case.
Quick Browser: Select ON by clicking the button to hide the additional resources for faster case review.
CASE NUMBER
244
Diagnosis
Pheochromocytoma
Note
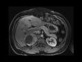
MRI images demonstrate a hypervascular right adrenal mass with central necrosis , found to be a pheochromocytoma.
THIS IS CASE
244
OF
367
