
- 2
- ,
- 3
- 0
- 9
To Quiz Yourself: Select OFF by clicking the button to hide the diagnosis & additional resources under the case.
Quick Browser: Select ON by clicking the button to hide the additional resources for faster case review.
CASE NUMBER
232
Diagnosis
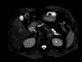
Main duct Intraductal Papillary Mucinous Neoplasm (IPMN)
Note
MRI and CT images nicely demonstrate diffuse dilatation of the main pancreatic duct with ectatic side branches, compatible with main-duct IPMN.
THIS IS CASE
232
OF
367
