
- 2
- ,
- 3
- 0
- 9
To Quiz Yourself: Select OFF by clicking the button to hide the diagnosis & additional resources under the case.
Quick Browser: Select ON by clicking the button to hide the additional resources for faster case review.
CASE NUMBER
195
Diagnosis
Bone Infarct, Humerus
Note
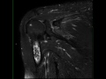
58-year-old male who presents for chronic right shoulder pain. There is an infiltrative T1 hypointense, STIR heterogeneously hyperintense lesion centered within the proximal right humeral diaphysis with extension to involve the metaphysis. There is heterogeneous enhancement. There are central components of the lesion which are both T1 hyperintense and STIR hypo-intense compatible with internal fat. The lesion is centered within the medullary cavity without definite endosteal scalloping, cortical breakthrough, or associated soft tissue component. Imaging findings are most compatible with bone infarction. Bone infarct is secondary to interruption of blood supply to bone. A central necrotic core is established with a hypoxic peripheral zone. Causes include trauma, Caisson disease, hemoglobinopathy, radiation therapy, connective tissue disorders, steroid use, pancreatitis and alcohol use.
THIS IS CASE
195
OF
367
