
- 2
- ,
- 3
- 0
- 9
To Quiz Yourself: Select OFF by clicking the button to hide the diagnosis & additional resources under the case.
Quick Browser: Select ON by clicking the button to hide the additional resources for faster case review.
CASE NUMBER
192
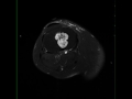
Diagnosis
Enchondroma, Tibia
Note
32-year-old female presenting for chronic left knee pain. The images demonstrate a T1 isointense, proton density isointense, STIR hyperintense mass centered within the medullary cavity of the proximal left tibia. There is involvement of the epiphysis and metaphysis. The lesion heterogeneously enhances. There are components of the lesion which are STIR hypointense demonstrating a ring and arc configuration. The imaging findings are most compatible with a benign chondroid lesion such as an enchondroma. Enchondroma is a type of benign medullary cartilaginous neoplasm usually found in children or young adults. Peak incidence is around 10-30 years of age. The lesions arise from rests of growth plate cartilage that subsequently proliferate and slowly enlarge.
THIS IS CASE
192
OF
367
