
- 2
 - ,
 - 3
 - 0
 - 9
 
To Quiz Yourself: Select OFF by clicking the button to hide the diagnosis & additional resources under the case.
Quick Browser: Select ON by clicking the button to hide the additional resources for faster case review.
CASE NUMBER
  178
  
  
	
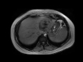
    Diagnosis
  
Hepatic adenoma
    Note
  
  
    MRI images in a young woman demonstrate a large hepatic mass with mild arterial hyperenhancement, signal loss on opposed phase images, and evidence of internal fat on the DIXON fat-only images.  This constellation of findings is strongly suggestive of an heoatic adenoma.
  
  
	 THIS IS CASE
     178
       
	    OF
		367
   
       
     
   