
- 2
- ,
- 3
- 0
- 9
To Quiz Yourself: Select OFF by clicking the button to hide the diagnosis & additional resources under the case.
Quick Browser: Select ON by clicking the button to hide the additional resources for faster case review.
CASE NUMBER
175
Diagnosis
Crohn's disease
Note
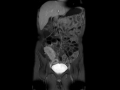
MRI images demonstrate extensive wall thickening and hyperenhancement of the terminal ileum, compatible with the patients known Crohns disease.
THIS IS CASE
175
OF
367
