
- 2
- ,
- 3
- 0
- 9
To Quiz Yourself: Select OFF by clicking the button to hide the diagnosis & additional resources under the case.
Quick Browser: Select ON by clicking the button to hide the additional resources for faster case review.
CASE NUMBER
164
Diagnosis
Duodenal adenocarcinoma
Note
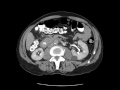
MRI and CT images nicely demonstrate mass-like thickening of the decending duodendum. Notice the prominent restricted diffusion associated this thickening. This was found to be duodenal adenocarcinoma at biopsy
THIS IS CASE
164
OF
367
