
- 2
- ,
- 3
- 0
- 9
To Quiz Yourself: Select OFF by clicking the button to hide the diagnosis & additional resources under the case.
Quick Browser: Select ON by clicking the button to hide the additional resources for faster case review.
CASE NUMBER
149
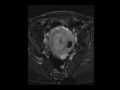
Diagnosis
Intracavitary fibroid
Note
MR images demonstrate a large intracavitary fibroid that is T2 hypointense and enhances similar to the background uterus.
THIS IS CASE
149
OF
367