
- 2
- ,
- 3
- 0
- 9
To Quiz Yourself: Select OFF by clicking the button to hide the diagnosis & additional resources under the case.
Quick Browser: Select ON by clicking the button to hide the additional resources for faster case review.
CASE NUMBER
133
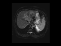
Diagnosis
Cholangiocarcinoma
Note
MRI images demonstrate a large liver mass which demonstrates prominent delayed enhancement, characteristic of a cholangiocarcinoma
THIS IS CASE
133
OF
367
