
- 2
- ,
- 3
- 0
- 9
To Quiz Yourself: Select OFF by clicking the button to hide the diagnosis & additional resources under the case.
Quick Browser: Select ON by clicking the button to hide the additional resources for faster case review.
CASE NUMBER
37
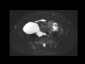
Diagnosis
Hematosalpinx from endometriosis
Note
MRI images demonstrate a markedly dilated fallopian tube with internal T1 bright contents, consistent with hematosalipinx in this patient with known endometriosis.
THIS IS CASE
37
OF
367
